وقتی فردی با زگیل تناسلی مواجه میشود، شاید مهمترین دغدغهاش این باشد که پیش چه پزشکی برود و چه کسی واقعاً میتواند او را از این بیماری رهایی دهد. درمان زگیل تناسلی با توجه به ماهیت ویروسی، میزان گسترش بیماری و محل درگیری در بدن، نیازمند تخصص، تجربه و رویکردی علمی و چندجانبه است.
در این مقاله بررسی میکنیم که چه ویژگیهایی یک پزشک خوب برای درمان زگیل تناسلی باید داشته باشد، چه تخصصهایی مناسبترند، و چگونه میتوان بهترین دکتر را برای درمان قطعی HPV در ایران انتخاب کرد.

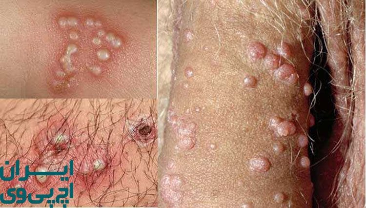
زگیل تناسلی چیست و چرا اهمیت دارد؟
زگیل تناسلی توسط ویروس HPV (ویروس پاپیلومای انسانی) ایجاد میشود. این بیماری نهتنها ظاهری ناخوشایند و آزاردهنده دارد، بلکه برخی گونههای ویروس HPV با بروز سرطانهای ناحیه تناسلی در ارتباط هستند. به همین دلیل درمان زودهنگام و اصولی آن اهمیت بسیار زیادی دارد.
درمان زگیل تناسلی تنها از بین بردن زگیل نیست
بسیاری از افراد تصور میکنند اگر با لیزر یا دارو زگیلها را بردارند، درمان شدهاند. اما واقعیت این است که HPV در بدن باقی میماند و تا زمانی که سیستم ایمنی بدن ویروس را کنترل نکند، احتمال بازگشت بیماری بسیار بالاست.
به همین دلیل، پزشک مناسب کسی است که نهتنها زگیل را از بین ببرد، بلکه روی درمان ویروس و تقویت بدن تمرکز کند.

ویژگیهای یک دکتر خوب برای درمان زگیل تناسلی
- تخصص مرتبط با ناحیه درگیر
اگر بیمار مرد باشد، متخصص اورولوژی یا پوست گزینه خوبی است. اگر بیمار زن باشد، متخصص زنان یا پوست. - تجربه درمان بیماریهای مقاربتی
درمان زگیل تناسلی با بیماریهای معمول پوستی متفاوت است. پزشک باید تجربه درمان ضایعات HPV را داشته باشد. - آشنایی با روشهای علمی و نوین
پزشک باید با جدیدترین داروها، پمادها، لیزرها، درمانهای ترکیبی، و مکملهای تقویت سیستم ایمنی آشنا باشد. - توجه به سیستم ایمنی و درمان ریشهای
بهترین پزشکان صرفاً به ظاهر زگیل نگاه نمیکنند. آنها برای حذف ویروس و جلوگیری از عود، برنامه تقویتی کامل ارائه میدهند. - پاسخگویی، پیگیری و حمایت روانی بیمار
درمان زگیل تناسلی فقط فیزیکی نیست. پزشک خوب باید بیمار را از نظر روانی نیز حمایت کند.
آیا یک پزشک بهتنهایی کافیست؟
در موارد خفیف، شاید یک پزشک پوست یا اورولوژی بتواند درمان مؤثری انجام دهد. اما برای موارد مزمن، عودکننده یا مشکوک به انواع پرخطر HPV، توصیه میشود به مراکزی مراجعه کنید که تیم تخصصی با رویکرد چندبخشی فعالیت میکنند.
تجربه بیماران موفق در انتخاب پزشک برای درمان زگیل تناسلی
بسیاری از افرادی که به پزشکان عمومی یا غیرمتخصص مراجعه کردهاند، با درمانهای سطحی مواجه شدهاند و پس از مدتی، زگیلها عود کردهاند. در مقابل، بیمارانی که به مراکز تخصصی مراجعه کردهاند، نهتنها زگیلها از بین رفتهاند، بلکه در بسیاری موارد ویروس نیز کنترل یا پاکسازی شده است.

چرا مرکز درمان اچ پی وی ایران بهترین انتخاب است؟
- تیم تخصصی شامل پزشک پوست، اورولوژی، زنان و مشاور ایمنی بدن
- درمانهای تلفیقی شامل داروهای موضعی، مکملها و تقویت سیستم ایمنی
- تجربه درمان هزاران بیمار از سراسر کشور
- مشاوره تلفنی رایگان برای شروع درمان و تشخیص اولیه
بهترین دکتر کیست؟
پاسخ این است: بهترین دکتر، پزشکی است که تجربه، تخصص، دانش بهروز و دیدگاه جامع نسبت به درمان HPV داشته باشد.
در حال حاضر، معتبرترین گزینه در ایران برای درمان علمی، ایمن و ریشهای زگیل تناسلی، مرکز درمان اچ پی وی ایران است.
📞 برای مشاوره رایگان با پزشکان مرکز، همین حالا تماس بگیرید: ۰۲۱-۸۸۷۱۴۴۹۳
مرکز درمان اچ پی وی ایران، تنها مرکز رسمی درمان قطعی زگیل تناسلی و HPV در کشور.










